
Vladimir Komarov, el cosmonauta que iba a dar los primeros pasos en el espacio y se estrelló contra la Tierra
El 24 de abril de 1967, el cosmonauta Vladimir Komarov se convirtió en el primer hombre en morir en el espacio... ¿qué sucedió?

El 24 de abril de 1967, el cosmonauta Vladimir Komarov se convirtió en el primer hombre en morir en el espacio... ¿qué sucedió?

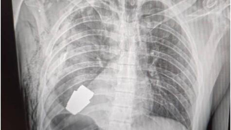
Los cirujanos llevaron a cabo una delicada operación neutralizando el explosivo que estaba alojado justo debajo del corazón del soldado, según informó el gobierno de Kyiv

Laika fue parte de un experimento soviético precursor del lanzamiento de humanos al espacio; falleció durante el viaje

El presidente Andrés Manuel López Obrador se volvió tendencia cuando, durante la conferencia matutina, dijo tener muy buenas relaciones con todos los países… incluyendo la Unión Soviética

A través de un comunicado el presidente Biden señaló que Gorbachov tenía "imaginación para ver que un futuro diferente era posible y el coraje para arriesgar su carrera entera para lograrlo"

Gorbachov falleció el martes por la noche a los 91 años, tras una "larga y grave enfermedad", indicó el Hospital Clínico Central de Moscú donde estaba siendo tratado

Colaborador desde 1992, bromeó diciendo que "otro diario lo pretendía" bebió vodka de un jalón y comió salmón, habló de su país en la sala de juntas de la dirección del diario y se dijo "en casa"

Para muchos, aquel momento marcó el fin de la potencia comunista y de la Guerra Fría, pero para otros la Unión Soviética (URSS) ya había muerto semanas antes con el Tratado de Belavezha

Usuarios han recordado en redes sociales la vez que el ganador del Premio Nobel de la Paz salió en un comercial de Pizza Hut en Rusia

Mijaíl Gorbachov murió este martes a los 91 años; durante su gobierno, puso en marcha un ambicioso plan de políticas aperturistas para potenciar la economía de Rusia