
Médicos alertan que las cirugías estéticas en menores implican altos riesgos y vacíos legales, pues no hay edad mínima establecida en México

Médicos alertan que las cirugías estéticas en menores implican altos riesgos y vacíos legales, pues no hay edad mínima establecida en México

La actriz de 53 años presentó varios síntomas que le indicaron el rechazo a los implantes

La alcaldía ofrecerá atención médica profesional en el centro de la demarcación para promover la salud reproductiva de las mujeres

El llamado Miami Project to Cure Paralysis de la Facultad de Medicina Miller servirá como segundo sitio en EU para estas pruebas

El próximo miércoles 23 de octubre el reconocido odontólogo, especializado en cirugía oral, ofrecerá una charla en línea sobre implantes dentales exclusiva para suscriptores

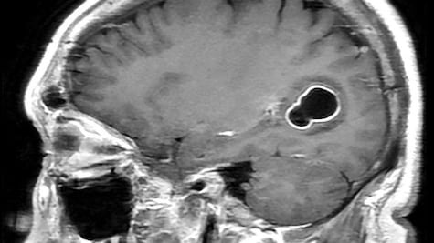
La compañía emergente, cofundada por Musk en 2016, pretende desarrollar un canal de comunicación directa entre el cerebro y las computadoras, con el fin de, en una fase inicial, devolver la autonomía a personas con necesidades médicas

El chip fue entrenado con un método de inteligencia artificial llamado red neuronal, que decodifica palabras según la actividad cerebral que se produce cuando intenta articularlas

Con lo anterior, Noland Arbaugh se convierte en el primer ser humano en usar el implante cerebral para controlar el cursor o el teclado de un computadora utilizando únicamente sus pensamientos

Gracias a ellos, dos mujeres que habían perdido el habla acaban de recuperar la capacidad de comunicarse con sus semejantes. Su uso conlleva un dilema ético, por lo que es necesario regularlos

Se desconoce de dónde vino la agresión; la víctima está sana y salva