Los estudios en torno a los efectos del Covid-19 alrededor del cerebro continúan, siendo uno de los más recientes el análisis en torno a la leucoencefalopatía diseminada , un padecimiento que se ha asociado a la enfermedad como una consecuencia poco común y que representa una consideración diferencial importante.
En el trabajo presidido por Colbey W. Freeman, de la Universidad de Pensilvania, se indicó que entre los efectos que tiene la infección por SARS-CoV-2 en el órgano rector del cuerpo humano están también las encefalopatía necrotizante aguda , infartos, microhemorragia, encefalomielitis aguda diseminada y leucoencefalopatía.
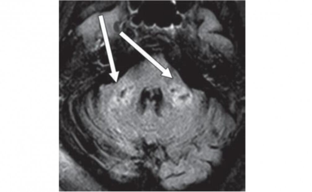
Del 1 de marzo al 18 de junio de 2020, el equipo de expertos estudió a 2 mil 820 pacientes con Covid-19 que ingresaron al centro hospitalario, algunos de ellos incluso se sometieron a realizarse una resonancia magnética cerebral, donde se pudo observar la leucoencefalopatía diseminada.
También lee:
De entre los padecimientos encontrados en algunos de los pacientes, el 5.1% tenían lesiones de sustancia blanca por esclerosis múltiple y el 39% por enfermedad isquémica de vasos pequeños.

Foto: American Roentgen Ray Society (ARRS), American Journal of Roentgenology (AJR)
En lo relacio con los infartos, el 10.2% habían registrado agudos; 6.8 de carácter subagudo; 6.8%, crónicos; y 1.7% tenía señal anormal de los ganglios basales por hipoxemia.
Dentro de las comorbilidades frecuentes señaladas, se señalaron a la hipertensión y la diabetes mellitus tipo 2.
También lee:
El cerebro es uno de los órganos que más ha preocupado en las investigaciones, luego que trabajos recientes han arrojado que es en esta parte del cuerpo donde el coronavirus se puede "esconder" y provocar reinfecciones en pacientes recuperados.
"El cerebro es una de las regiones donde al virus le gusta esconderse", afirmó hace unos días Mukesh Kumar, investigador de la Universidad Estatal de Georgia, quien infectó a los ratones con el SARS-CoV-2 a través de los conductos nasales, provocándoles enfermedades graves debido a infecciones cerebrales.
nrv
Noticias según tus intereses
[Publicidad]
[Publicidad]










